head
     
  Kontakt - Anfahrt    |    Impressum
     
 

     9. Vorsorge-Koloskopie, Früherkennungskoloskopie (Screening)

    Gemeinsam mit vielen Partnern (Netzwerk gegen Darmkrebs), darunter zahlreiche wissenschaftliche Fachgesellschaften, Stiftungen und Patientenorganisationen, die unter dem Motto „Deutschland gegen Darmkrebs“eine Vielzahl von Aktionen und Veranstaltungen durchführen (speziell im Monat März) unterstützen auch wir die Initiative.

    Warum? Darmkrebs ist in Deutschland die zweithäufigste Krebserkrankung und die zweithäufigste Krebs-Todesursache. Jedes Jahr werden rund 70.000 Menschen mit dieser Diagnose konfrontiert, ca. 28.000 Patienten sterben daran. Der Darmkrebs ist eine der wenigen Tumorerkrankungen, die sich durch eine rechtzeitige Vorsorgeuntersuchung und Behandlung ihrer Vorstufen (Polypen) vollständig heilen lässt. Die effektivste Methode zur Früherkennung ist die Darmspiegelung (Koloskopie).
    Ziel? Darmkrebs verhindern durch die frühzeitige Entdeckung und Abtragung von Polypen, Senkung der Sterberate durch die Vorsorgekoloskopie.
    Als Fachärzte für Koloproktologie sind wir Experten für die Früherkennung und Behandlung von Darmkrebs.
    Vorbereitung. Ein Tag vor der Untersuchung erfolgt die Einnahme eines stärkeren Abführmittels und parallel dazu wird reichlich Flüssigkeit getrunken.

    Untersuchungsablauf. Das flexible Koloskop hat einen Durchmesser von ca. 1cm und eine Länge von 1,60m und besitzt an der Spitze einen Videochip um das Bild auf einen Monitor zu übertragen. Es ist möglich, wenn der Patient es wünscht, den Untersuchungsablauf mitzuverfolgen. Die meisten Patienten wünschen jedoch eine Sedierung bzw. Kurznarkose, sodass sie von der gesamten Prozedur nichts mitbekommen. Während dieser Zeit  erfolgt eine Überwachung des Herz-Kreislauf-Systems und der Atmung. Die Untersuchung erfolgt in Rückenlagerung (Steinschnittlage) und dauert normalerweise 20-25 Minuten. Dabei wird über einen gesonderten Kanal des Gerätes Luft in den Darm insuffliert, der Darm dabei zur Entfaltung gebracht, damit die Darmschleimhaut sorgfältig nach krankhaften Befunden (Polypen) abgesucht werden kann. In der gleichen Sitzung können die Polypen mittels Diathermie-Schlinge (gleichzeitiges Schneiden und Blutstillung) abgetragen werden.

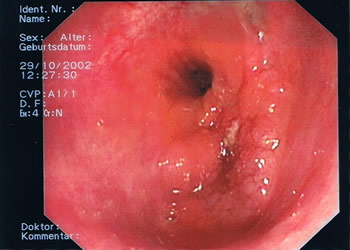
    Endoskopische Bilder. Das Darmlumen innerhalb der einzelnen Darmabschnitte kann eher rundlich, leicht eingeengt oder dreieckförmig aussehen, entsprechend des anatomischen Aufbaus (s. Abb.1-4). Grundsätzlich gibt es verschiedene Arten von Polypen mit unterschiedlichen Konfigurationen und von verschiedener Größe. Kugelig(Abb.6) mit schmaler Verbindung zur Darmwand, hügelig mit breiter Basis, muschelförmig, die sich häufig an eine Querfalte anschmiegen, gestielte Polypen, die über einen Stiel mit der Darmwand verwachsen sind und sessile Polypen (Abb.5), die breitbasig auf der Darmwand aufsitzen. Der Übergang zum Dünndarm (Ileocaecal-Klappe) kann des Öfteren ein polypöses Aussehen vortäuschen (Abb.4).
    Unentdeckte Polypen können nach vielen Jahren in ein Karzinom übergehen (Abb. 8).

    Wissenschaftliche Erkenntnisse zur Früherkennungskoloskopie. Die Vorsorgekoloskopie wurde in Deutschland im Jahr 2002 eingeführt. Derzeit haben Frauen und Männer ab dem Alter von 55 jahren einen Anspruch auf eine Früherkennungskoloskopie, die bei unauffäligem Befund nach zehn Jahren wiederholt werden kann. An diesem Programm nehmen allerdings nur 3% der Berechtigten pro Jahr teil (Die Zielbevölkerung im Alter von 55-74 Jahren beträgt 17 Millionen).

    Soviel lässt sich mittlerweile zur Früherkennungskoloskopie feststellen:

    • Akzeptanz zum Screening und Teilnehmerquote sind durch gezielte
      Information der Berechtigten verbesserungsfähiger

    • Das Risiko eines Dickdarmkarzinoms kann um ca. 75% gesenkt werden

    • Nach einer mittleren Überwachungsdauer von ca. 16 Jahren war die   Kolonkarzinom-bedingte Sterblichkeit nach erfolgter koloskopischer
      Entfernung von Adenomen (Polypen) um 53% niedriger als in einer
      Vergleichsgruppe

    • Die Mortalität in einer Adenom-Gruppe war – wenn nach einer endoskopischen
      Entfernung weiterhin eine Überwachung erfolgte – genauso niedrig wie in der
      nicht-Adenom-Gruppe

    Diese Ergebnisse belegen eindeutig die Notwendigkeit, Adenome als Vorstufen von Darmkrebs zu entdecken und zu entfernen und die Patienten danach in regelmäßigen Abständen zu überwachen.


 
















 

<< zurück zur Übersicht

   
     
   
Seite drucken     
 

proctology.de | Privatfachpraxis für End- und Dickdarmerkrankungen | Dr. S. Athanasiadis & Dr. P. Meier zu Eissen | St. Joseph-Hospital (Rhein-Klinik) | Ahrstraße 100 | 47139 Duisburg-Laar
Telefon 0203-80 01 126 | Fax 0203-80 01 555 | info@proctology.de | Webdesign by lx-werbeagentur.de